ブログ

歯内歯周疾患に対する治療

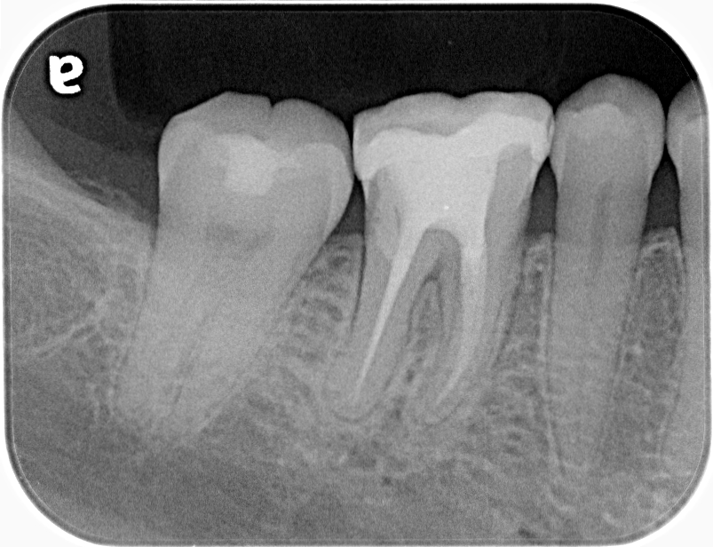
他院では歯が割れていると言われ、歯が残せるか相談のため来院された症例です。
冷たいもの、熱いもので痛みがあり自発痛がありました。
術前の診査では根分岐部に5mm前後のポケットと、透過像を認めます。
このような症例では歯根破折、歯内歯周疾患(エンド由来、ペリオ由来)といった鑑別診断が必要となります。
顕微鏡での診査では破折線は分岐部と一致しない部位に限局的に存在したため、保存可能な可能性が高いと判断し根管治療を開始しました。

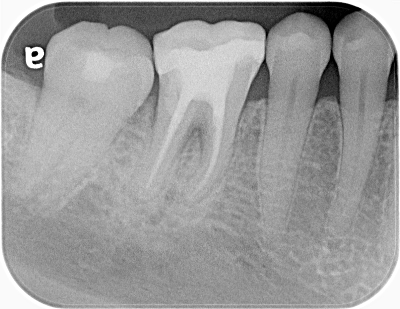
術後半年経過を見ましたが、分岐部のポケットと透過像が改善なく排膿を認めたため、歯内歯周疾患と診断し再生療法を行いました。

再生療法を行い術後6ヶ月で分岐部のポケット、透過像の改善が認められました。
歯内歯周疾患では根管治療だけではなく、歯周治療の診断と治療を適切に行わなければ改善しません。当院では根管治療のみならず、歯周治療、補綴治療といった総合的な診療を行うことで、歯の保存を積極的におこなっております。

治療のご相談、ご予約などお気軽にお問い合わせ下さい

03-5977-1788

平日10:00~13:00、14:30~18:00
土曜9:30~13:30、15:00~18:00
(休診:水曜・日祝)

メールでのお問い合わせ